Login
Signup
medical imaging
innovation in detection & diagnostic education
learners & experts share interpretation & insights
Share
image diagnosis
MCQ
image diagnosis
Help
image diagnosis
Get the most out of Image CME
Image CME is designed to support you through every stage of your professional journey
2D
PET Scan
Mammography
Ultrasound, Diagnostic
MRI
CT Scan
X Ray
Share image
Distal Femur Transphyseal Fracture
Certainty: Certain
Author: Dr. Aqsa Ali
Date Published: Mar 27, 2026
Disease Specialty: Orthopaedics
Image Type:
2D
CT Scan
X Ray
MCQ image
Rash in SLE
Author: Dr usman Raza
Date Published: Mar 27, 2026
Disease Specialty: Rheumatology
Image Type:
2D
Share image
Esophageal Cancer with Celiac Lymph Node Metastases
Diagnosis: Esophageal Adenocarcinoma with Lymph Node Involvement
Certainty: Certain
Author: Dr Marrium Rasheed
Date Published: Mar 27, 2026
Disease Specialty: Oncology
Image Type:
CT Scan
PET Scan
Share image
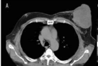
Myasthenia Gravis with Thymoma and Pleural Metastasis_
Certainty: Certain
Author: Dr Aisha Malik
Date Published: Mar 26, 2026
Disease Specialty: Oncology
Image Type:
X Ray
CT Scan
MCQ image
Mild congested left eye
Certainty: Certain
Author: Dr. Atif Hussain
Date Published: Mar 26, 2026
Disease Specialty: Ophthalmology
Image Type:
2D
Share image
Pituitary Microadenoma in the Posterior Pituitary Gland
Diagnosis: Coexisting Bartter Syndrome and Cushing's Disease due to Pituitary Microadenoma
Certainty: Certain
Author: Dr Aisha Malik
Date Published: Mar 24, 2026
Disease Specialty: Nephrology
Image Type:
MRI
Share image
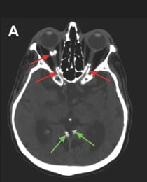
Bilateral Optic Nerve Sheath Calcifications (CT scan).
Diagnosis: Secondary Hyperparathyroidism with Orbital Calcification in CKD.
Certainty: Certain
Author: Dr usman Raza
Date Published: Mar 24, 2026
Disease Specialty: Nephrology
Image Type:
CT Scan
Share image
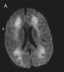
Toxic Leukoencephalopathy in a 45-year-old Female Opioid User
Diagnosis: Toxic Leukoencephalopathy due to Opioid Use (Heroin/Morphine/Oxycodone)
Certainty: Certain
Author: Dr. Atif Hussain
Date Published: Mar 24, 2026
Disease Specialty: Neurology
Image Type:
MRI
Histopathology
MCQ image
Chest X-Ray of a Pregnant Asthmatic Patient
Author: Dr. Aqsa Ali
Date Published: Mar 19, 2026
Disease Specialty: Pulmonology
Image Type:
X Ray
Share image
Sickle cells Anemia
Diagnosis: Haemoglobinopathy
Certainty: Certain
Author: Dr usman Raza
Date Published: Mar 18, 2026
Disease Specialty: Haematology
Image Type:
2D
MCQ image
Red Inflamed Skin with Blisters
Author: Dr Marrium Rasheed
Date Published: Mar 16, 2026
Disease Specialty: Dermatology
Image Type:
2D
MCQ image
Painful Red Eye with Ciliary Injection and Constricted Irregular Pupil
Author: Dr. Atif Hussain
Date Published: Mar 16, 2026
Disease Specialty: Ophthalmology
Image Type:
2D
Share image
(CT) imaging of the left breast and axilla
Diagnosis: Invasive ductal carcinoma
Certainty: Certain
Author: Dr. Aqsa Ali
Date Published: Mar 16, 2026
Disease Specialty: Surgery
Image Type:
CT Scan
Share image
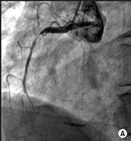
coronary angiogram
Diagnosis: Coronary spastic angina
Certainty: Certain
Author: Dr. Aqsa Ali
Date Published: Mar 12, 2026
Disease Specialty: Cardiology
Image Type:
2D
Share image
Abdominal MRI
Diagnosis: Coronal MRI of the abdomen with focus on Hepatobiliary region.
Certainty: Certain
Author: Dr. Aqsa Ali
Date Published: Mar 6, 2026
Disease Specialty: Radiology
Image Type:
MRI
Share image
Neck pain and swelling
Diagnosis: Medullary thyroid cancer
Certainty: Almost Certain
Author: Ahmad Salim
Date Published: Sep 2, 2025
Disease Specialty: Oncology
Image Type:
CT Scan
Help image
Chest pain, breath shortness, cough and hemoptysis
Author: Sadia Noreen
Date Published: Jan 23, 2025
Disease Specialty: Pulmonology
Image Type:
CT Scan
Share image
Cough, fever, cold, and body pain since yesterday
Diagnosis: Pneumonia
Certainty: Almost Certain
Author: Sadia Noreen
Date Published: Jan 23, 2025
Disease Specialty: Pulmonology
Image Type:
X Ray
Share image
Headache and rhinorrhoea
Diagnosis: Sinusitis
Certainty: Certain
Author: Sadia Noreen
Date Published: Jan 23, 2025
Disease Specialty: ENT
Image Type:
CT Scan
MCQ image
CT Bleeding Study
Author: Sadia Noreen
Date Published: Jan 20, 2025
Disease Specialty: Gastroenterology
Image Type:
CT Scan
Share
WhatsApp
LinkedIn
Facebook
X
Email
Copy