Login
Signup
images
CT Scan
Your browser does not support the video tag.
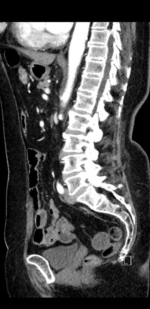
Sagittal C+ delayed
Your browser does not support the video tag.
Sagittal C+ arterial phase
Your browser does not support the video tag.
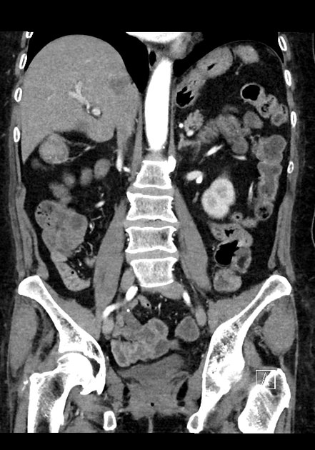
Coronal C+ delayed
Your browser does not support the video tag.
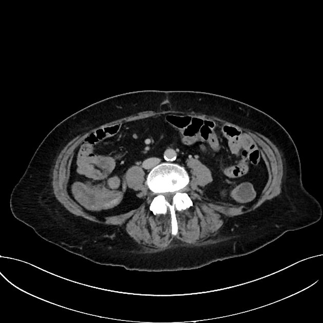
Axial C+delayed
Your browser does not support the video tag.
Coronal C+ arterial phase
Your browser does not support the video tag.
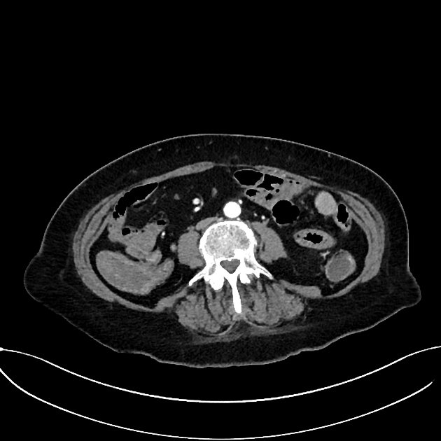
Axial C+ arterial phase
View Discussion
Title:
CT Bleeding Study
Disease Specialty:
Gastroenterology
Ease of Diagnosis:
Easy
Ethnicity:
Asian
Segment:
Adult Female
Image Quality:
High
Patient Age:
65 Years
Patient Gender:
Female
Your browser does not support the video tag.
Share
WhatsApp
LinkedIn
Facebook
X
Email
Copy