Logo
Login Signup
images
2D
(A) Coronary angiogram reveals a severe spasm in the proximal and distal portion of right coronary artery.
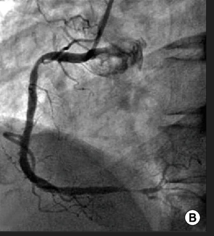
(B) The proximal and distal spasms of the right coronary artery are improved by repeated intracoronary injection of nitroglycerine.
View Discussion
  • Title: coronary angiogram
  • Diagnosis Title: Coronary spastic angina
  • Disease Specialty: Cardiology
  • Ease of Diagnosis: Difficult
  • Certainty: Certain
  • Ethnicity: Asian
  • Segment: Adult Female
  • Image Quality: High
  • Clinical Examination: Vital signs: Blood pressure: 159/96 mmHg Pulse: 63/min Respiratory rate: 20/min Temperature: 36.7°C Physical exam: Appeared acutely ill Conscious Heart and lung sounds normal Extremities cold
  • Patient Age: 50 years
  • Patient Gender: Female
  • Patient Socio-Economic Status: Middle class
  • Patient Concomitant: hypertension, variant angina, 5 pack years smoker
Logo

medical imaging innovation in detection & diagnostic education

Get in touch
  • (832) 660-1111
  • info@imagecme.com

© 2026 - Image CME . All Rights Reserved

Share
  • WhatsApp
  • LinkedIn
  • Facebook
  • X
  • Email