image
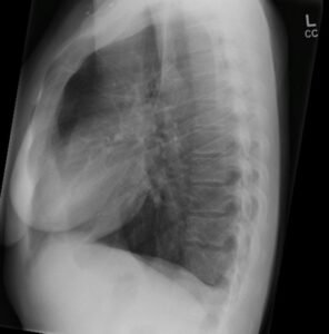
Chest X-Ray of a Pregnant Asthmatic Patient
2 views
Mar 19, 2026
  • Disease Specialty: Pulmonology
  • Ease of Diagnosis: Easy
  • Ethnicity: Asian
  • Segment: Adult Female
  • Image Quality: High
  • Clinical Examination: BP-135/74 RR-22/min HR-120/min T-36.3 O2 sats- 93% on air , she was dyspnoeic and appeared unwell.
  • Patient Age: 31 year
  • Patient Gender: Female
  • image
    Dr. Aqsa Ali
    Author
    1 month ago
    A 31-year-old patient presented with a one-day history of sudden onset of the left shoulder pain and shortness of breath. She has no history of trauma or fall. She has no fever, cough, no palpitations or syncope, and no calf swelling or tenderness. The patient has experienced persistent nausea, vomiting and had had poor oral intake with normal bowel motions. The pregnancy test done the previous week is positive and the patient estimates that she was 6 weeks pregnant. She had a background history of Asthma. She use Salbutamol and Fostair inhalers and smoke 10 cigarettes a day.
    1 Comment
    Please Login to your account to write a comment.
    image
    Dr Marrium Rasheed
    2 weeks ago
    right sided pleural effusion
    image