Logo
Login Signup
images
CT Scan
Axial C+ portal venous phase
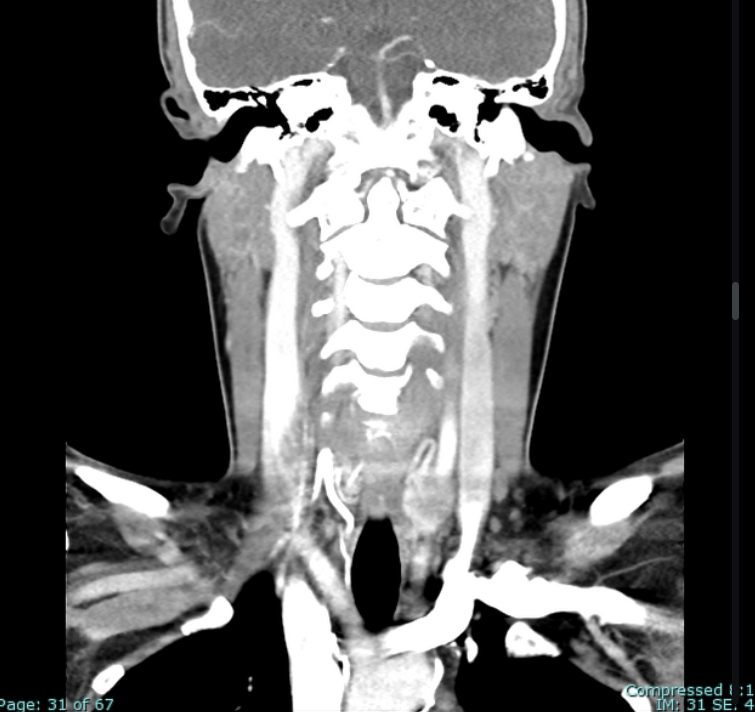
Coronal C+ portal venous phase
View Discussion
  • Title: Neck pain and swelling
  • Diagnosis Title: Medullary thyroid cancer
  • Disease Specialty: Oncology
  • Ease of Diagnosis: Difficult
  • Certainty: Almost Certain
  • Ethnicity: Asian
  • Segment: Adult Female
  • Image Quality: Medium
  • Patient Age: 45
  • Patient Gender: Female
  • Patient Socio-Economic Status: Low Socio-Economic status
  • Patient Concomitant: Diabetes, Arthritis

FDG PET/CT ability to detect medullary thyroid cancer (MTC) lesions is related to the increased glycolysis inherent to the tumour cells. Increased FDG avidity correlates with a higher proliferation rate and poorer differentiation.

The detection rate of FDG PET/CT in patients with medullary thyroid cancer (MTC) significantly improves in patients with higher serum Calcitonin and carcinoembryonic antigen (CEA) levels.

Other PET radiotracers used for imaging of MTC include F18-FDOPA and somatostatin analogues such as Ga68-DOTATATE.

FDOPA shows increased uptake and storage in MTC and other neuroendocrine tumour (NETs) via upregulated amino acid transporter systems and increased enzymatic conversion of DOPA to dopamine.

Somatostatin analogues detect MTC via the overexpression of somatostatin receptors on the cell surface of NETs.

Logo

medical imaging innovation in detection & diagnostic education

Get in touch
  • (832) 660-1111
  • info@imagecme.com

© 2026 - Image CME . All Rights Reserved

Share
  • WhatsApp
  • LinkedIn
  • Facebook
  • X
  • Email